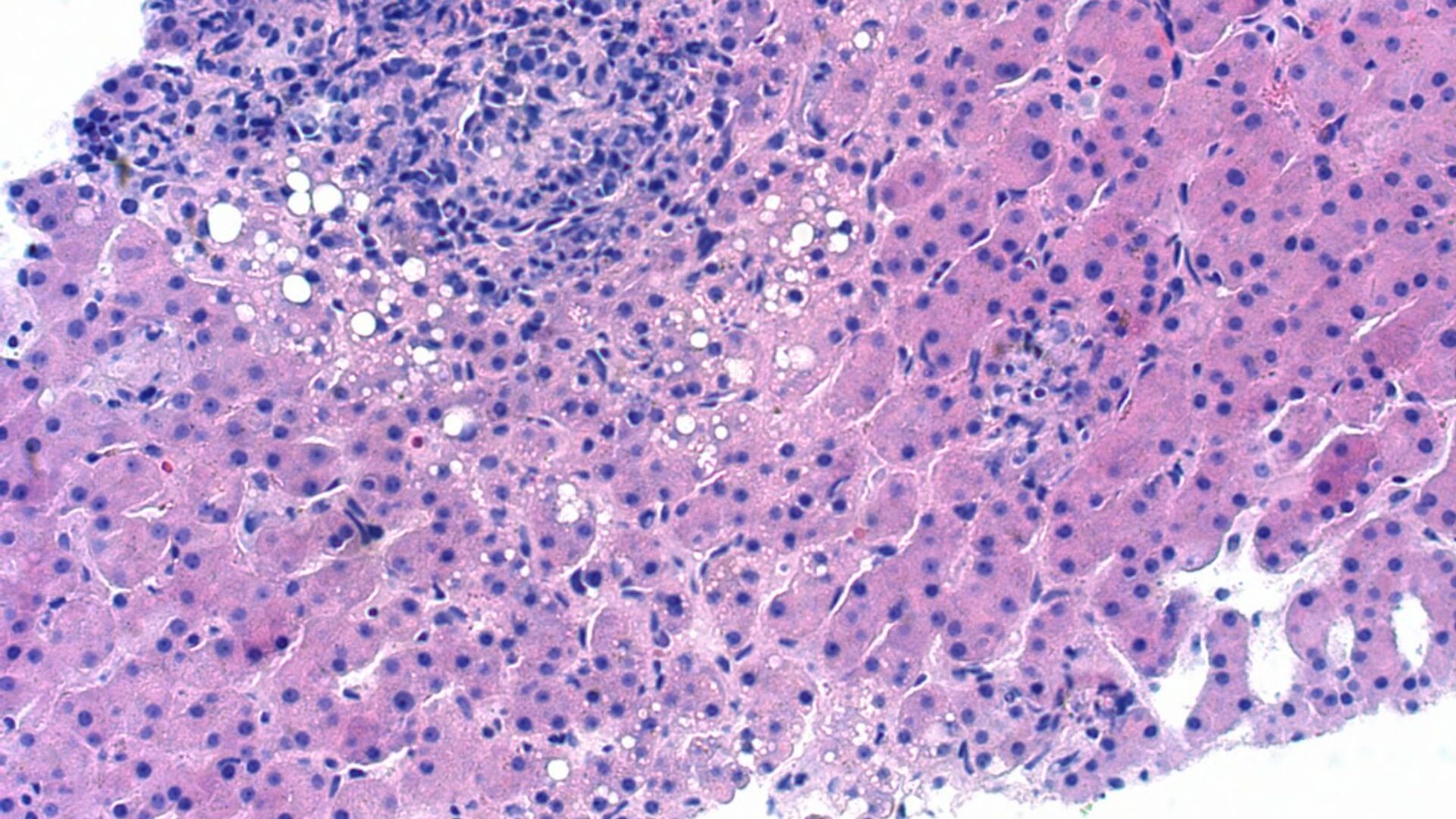
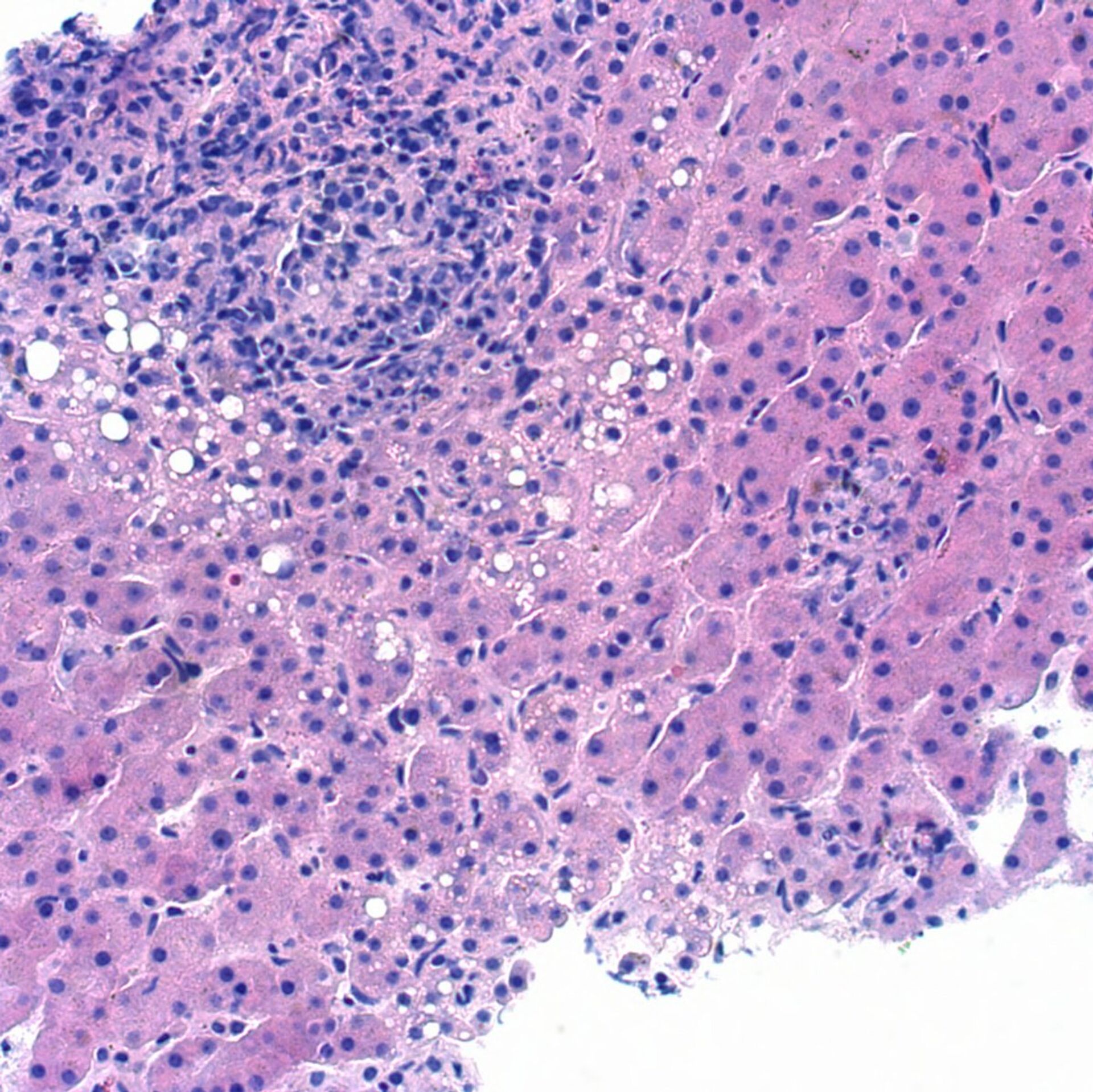
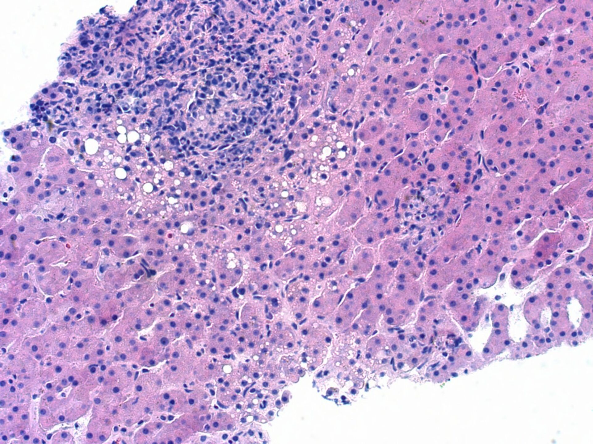
De acuerdo con la investigación, basada en los datos recopilados desde 1990 hasta 2013 en 183 países, el número de muertes por hepatitis aumentó en un 63% durante este período. Cada año, esta enfermedad mata a 1,45 millones de personas, al mismo tiempo, la cantidad de muertes por tuberculosis y VIH se ha ido reduciendo.
Los investigadores afirman que los habitantes de los países con mayor progreso económico están en riesgo de sufrir esta enfermedad, mientras que los habitantes de Asia Oriental raramente padecen hepatitis.

