Mediante una serie de sensores ultrasensibles, la ‘nariz artificial’ analiza el aliento del paciente a través de complejos algoritmos matemáticos y en un par de minutos revela el nivel de riesgo que presenta la persona de tener cáncer de pulmón.
"Este método se utiliza para identificar y cuantificar biomarcadores volátiles y reconocer los grupos de alto riesgo de cáncer de pulmón", explica José S. Torrecilla, profesor del departamento de Ingeniería Química de la UCM, según recoge la agencia SINC.
“Una de sus ventajas es que el médico puede recibir la evaluación del paciente pocos segundos después de haber expulsado su aliento en el equipo”, declaró John C. Cancilla, investigador del equipo de la UCM.
Este nuevo sistema puede ayudar a detectar el cáncer de pulmón de una manera rápida, eficiente y no invasiva, algo que hasta ahora era imposible.
Lea también: "TetasxTetas": Los senos que sí son aceptados en las redes sociales
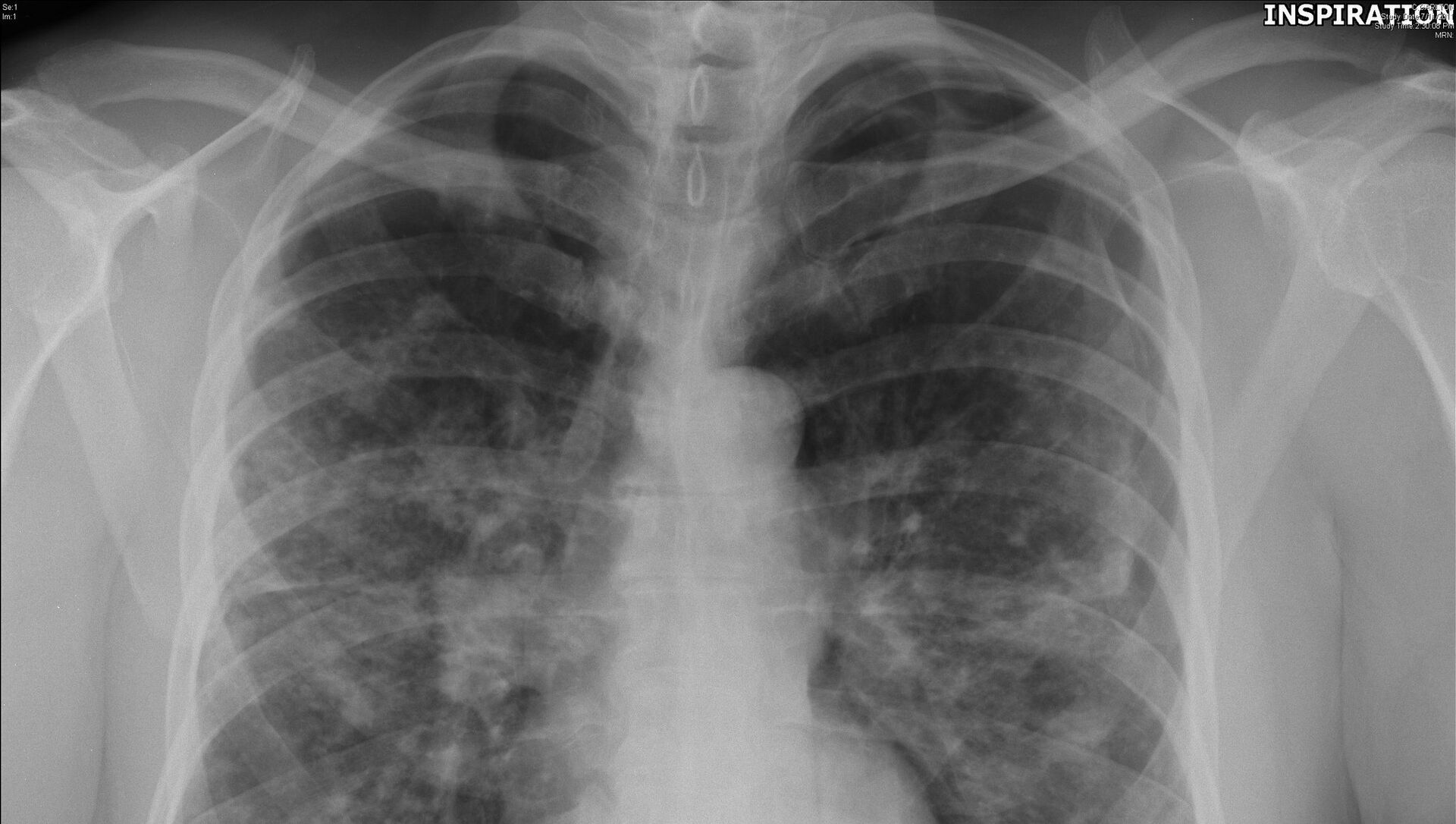
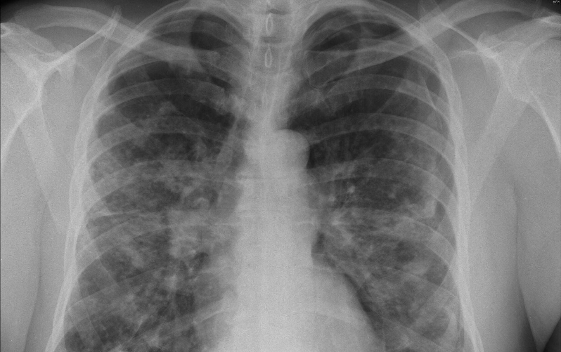
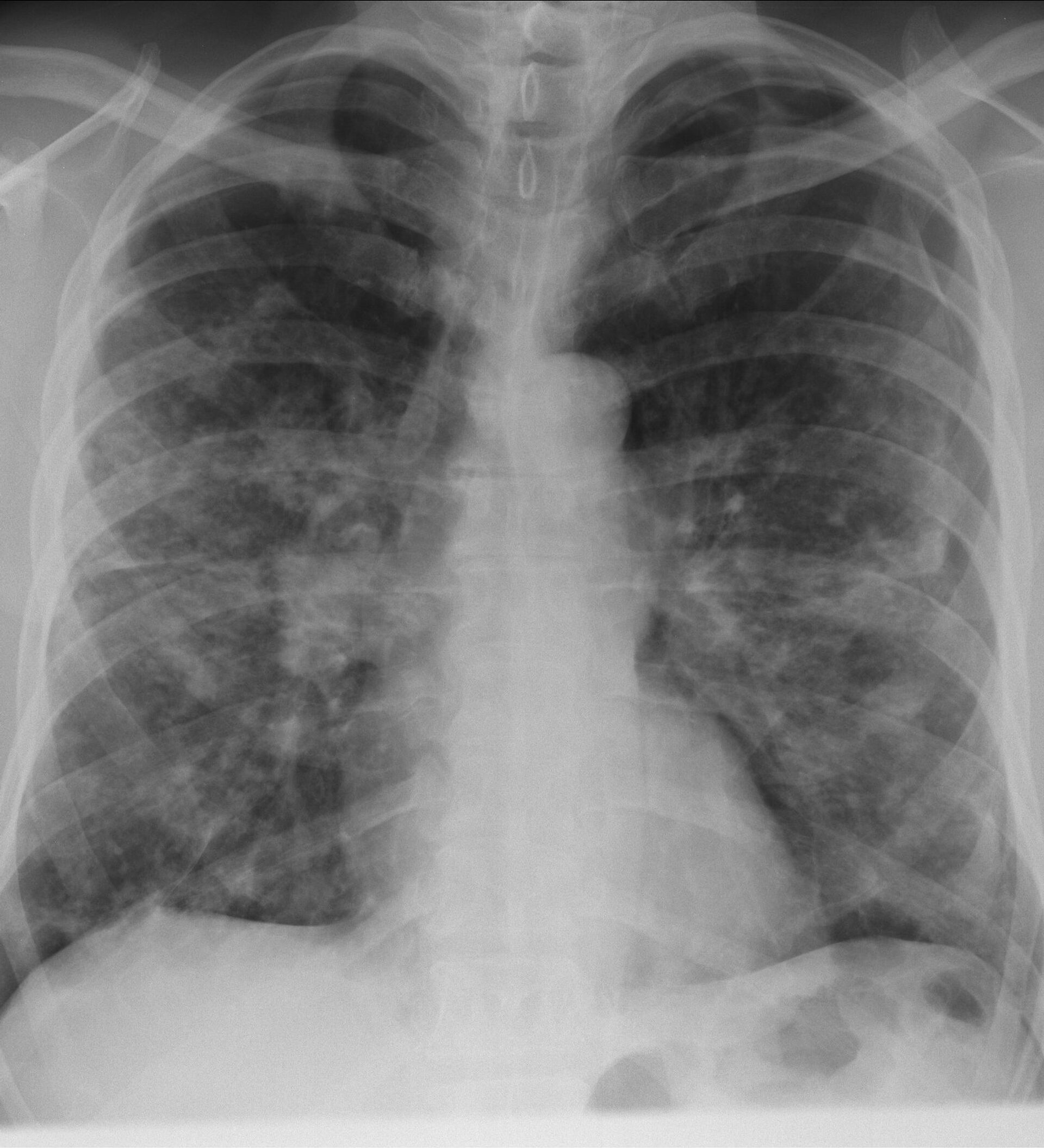
El cáncer de pulmón es uno de los más mortíferos entre las enfermedades cancerosas. En Rusia se registran unos 60.000 casos de cáncer de pulmón al año. Y la posibilidad de detectarlo a tiempo podría ser la diferencia entre la vida y la muerte.


