Aprueban la primera vacuna contra el VRS para los humanos

© Foto : Pixabay/k-e-k-u-l-é
Síguenos en
La vacuna, denominada Arexvy, de la empresa farmacéutica GSK, protege contra la enfermedad de las vías respiratorias bajas (ERVB) causada por el virus respiratorio sincitial (VRS), y ahora al estar disponible para la venta podrá salvar miles de vidas.
El desarrollo de la vacuna se vio impulsado por un análisis más detallado de la proteína que el VRS utiliza para fusionarse con las células e infectarlas, a partir de la cual se pudieron fabricar anticuerpos. Una técnica similar se utilizó también para desarrollar vacunas contra el COVID en los últimos años.
La aprobación de la vacuna para su administración en mayores de 60 años se concedió tras un ensayo con casi 25.000 participantes, la mitad de los cuales recibieron Arexvy y la otra mitad placebos. En personas de 60 años o más, Arexvy redujo el riesgo de contraer la enfermedad de las vías respiratorias inferiores por VRS en el 82,6% de los casos y de desarrollar una enfermedad grave en un 94,1%.
Los resultados de estos ensayos se publicaron en The New England Journal of Medicine a principios del año 2023. Ahora, el fármaco fue aprobado por la Administración de Alimentos y Medicamentos de EEUU (FDA por sus siglas en inglés).
"La aprobación hoy [el 3 de mayo] de la primera vacuna contra el VRS es un importante logro de salud pública para prevenir una enfermedad que puede poner en peligro la vida", declaró Peter Marks, el director del Centro de Evaluación e Investigación Biológica de la FDA.
Se calcula que el VRS le cuesta a EEUU unos 1.000 millones de dólares al año en gastos hospitalarios, por lo que esta vacuna y las futuras deberían poder hacer mella de forma significativa en esa cifra. Se están preparando otras vacunas contra el VRS, incluida una para mujeres embarazadas.
En la mayoría de los casos, el VRS no es mucho peor que un resfriado común, pero para las personas mayores, especialmente las que padecen enfermedades graves, puede ser mortal. Sólo en EEUU unas 14.000 personas mayores de 65 años mueren cada año a causa del VRS, y muchas más decenas de miles ingresan en el hospital.
De esta manera, se trata de un grave problema sanitario, por lo que se lleva décadas trabajando en una vacuna contra el VRS, hasta ahora sin éxito.

1/3
Micrografía electrónica de barrido de viriones del virus respiratorio sincitial (VRS) humano (coloreados en azul) y marcados con anticuerpos antiproteína F del VRS/oro (coloreados en amarillo) desprendiéndose de la superficie de células epiteliales pulmonares humanas A549.

2/3
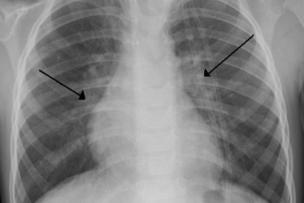
Radiografía de un niño con bronquiolitis por VRS que muestra la típica plenitud perihiliar bilateral.

3/3
© Foto : CDC/ Dr. Erskine Palmer / Una micrografía electrónica que muestra el patógeno del virus respiratorio sincitial (VRS).
Una micrografía electrónica que muestra el patógeno del virus respiratorio sincitial (VRS).
1/3
Micrografía electrónica de barrido de viriones del virus respiratorio sincitial (VRS) humano (coloreados en azul) y marcados con anticuerpos antiproteína F del VRS/oro (coloreados en amarillo) desprendiéndose de la superficie de células epiteliales pulmonares humanas A549.
2/3
Radiografía de un niño con bronquiolitis por VRS que muestra la típica plenitud perihiliar bilateral.
3/3
© Foto : CDC/ Dr. Erskine Palmer / Una micrografía electrónica que muestra el patógeno del virus respiratorio sincitial (VRS).
Una micrografía electrónica que muestra el patógeno del virus respiratorio sincitial (VRS).
"El día de hoy marca un punto de inflexión en nuestro esfuerzo por reducir la importante carga que supone el VRS", afirma Tony Wood, el director científico de GSK en el Reino Unido.
En cuanto el preparado reciba la aprobación de los Centros para el Control y la Prevención de Enfermedades (CDC), que podría llegar en junio, la vacuna estará disponible en farmacias y clínicas de EEUU en el otoño boreal.
Según GSK, ya se está trabajando para obtener la aprobación para administrar la vacuna también a personas de entre 50 y 59 años. Además, se espera que en un futuro próximo se dé el visto bueno en otros países, por lo que pronto se debería ver los beneficios en términos de casos de VRS, sostienen con optimismo los científicos.

