https://noticiaslatam.lat/20210208/las-7-senales-de-que-has-sufrido-un-derrame-cerebral-sin-darte-cuenta-1094363259.html
Las 7 señales de que has sufrido un derrame cerebral sin darte cuenta
Las 7 señales de que has sufrido un derrame cerebral sin darte cuenta
Sputnik Mundo
Pese a que los accidentes cerebrovasculares no pasan desapercibidos en la mayoría de los casos, a veces puedes estar exento de síntomas claros que solo se... 08.02.2021, Sputnik Mundo
2021-02-08T15:05+0000
2021-02-08T15:05+0000
2024-06-03T14:44+0000
💗 salud
sociedad
noticias
https://cdn.img.noticiaslatam.lat/img/07e5/02/08/1094362956_0:0:3071:1728_1920x0_80_0_0_bc299ed602b06b6451621311e258aa4d.jpg
En una entrevista con el medio ruso AiF, la neuróloga Aminat Dólova, del Centro Nacional del Cerebro y las Neurotecnologías, explicó que muchas personas no prestan la debida atención a la salud cerebral, aunque incluso los microderrames dan lugar a la formación de pequeñas zonas afectadas en el cerebro que se ven claramente en las imágenes por resonancia magnética. A pesar de que la mayoría de las personas se recupera de un derrame cerebral rápidamente y sin complicaciones, hasta en un 15% de los casos una apoplejia puede ser seguida por un derrame más grave, advirtió Dólova. Asimismo, contó al medio cuáles son los principales síntomas del llamado derrame cerebral silencioso:La neuróloga subrayó que las personas que sufren de hipertensión, diabetes y enfermedades cardiovasculares corren un riesgo mayor de sufrir un derrame cerebral. También deberías tener cuidado si llevas un estilo de vida sedentario y tienes sobrepeso. Dólova afirmó que las medidas de prevención, como el control del ritmo cardíaco, la dieta equilibrada y la actividad física constante ayudan a "reducir hasta el 80% el riesgo de sufrir accidentes cerebrovasculares".
Sputnik Mundo
contacto@sputniknews.com
+74956456601
MIA „Rossiya Segodnya“
2021
Sputnik Mundo
contacto@sputniknews.com
+74956456601
MIA „Rossiya Segodnya“
Noticias
es_ES
Sputnik Mundo
contacto@sputniknews.com
+74956456601
MIA „Rossiya Segodnya“
https://cdn.img.noticiaslatam.lat/img/07e5/02/08/1094362956_186:0:2917:2048_1920x0_80_0_0_3bbeb035eaa1385eb95e5cf80bedd234.jpgSputnik Mundo
contacto@sputniknews.com
+74956456601
MIA „Rossiya Segodnya“
💗 salud, sociedad, noticias
💗 salud, sociedad, noticias
Las 7 señales de que has sufrido un derrame cerebral sin darte cuenta
15:05 GMT 08.02.2021 (actualizado: 14:44 GMT 03.06.2024) Pese a que los accidentes cerebrovasculares no pasan desapercibidos en la mayoría de los casos, a veces puedes estar exento de síntomas claros que solo se detectan 'a posteriori'. Una experta contó cómo puedes detectar un derrame cerebral silencioso.
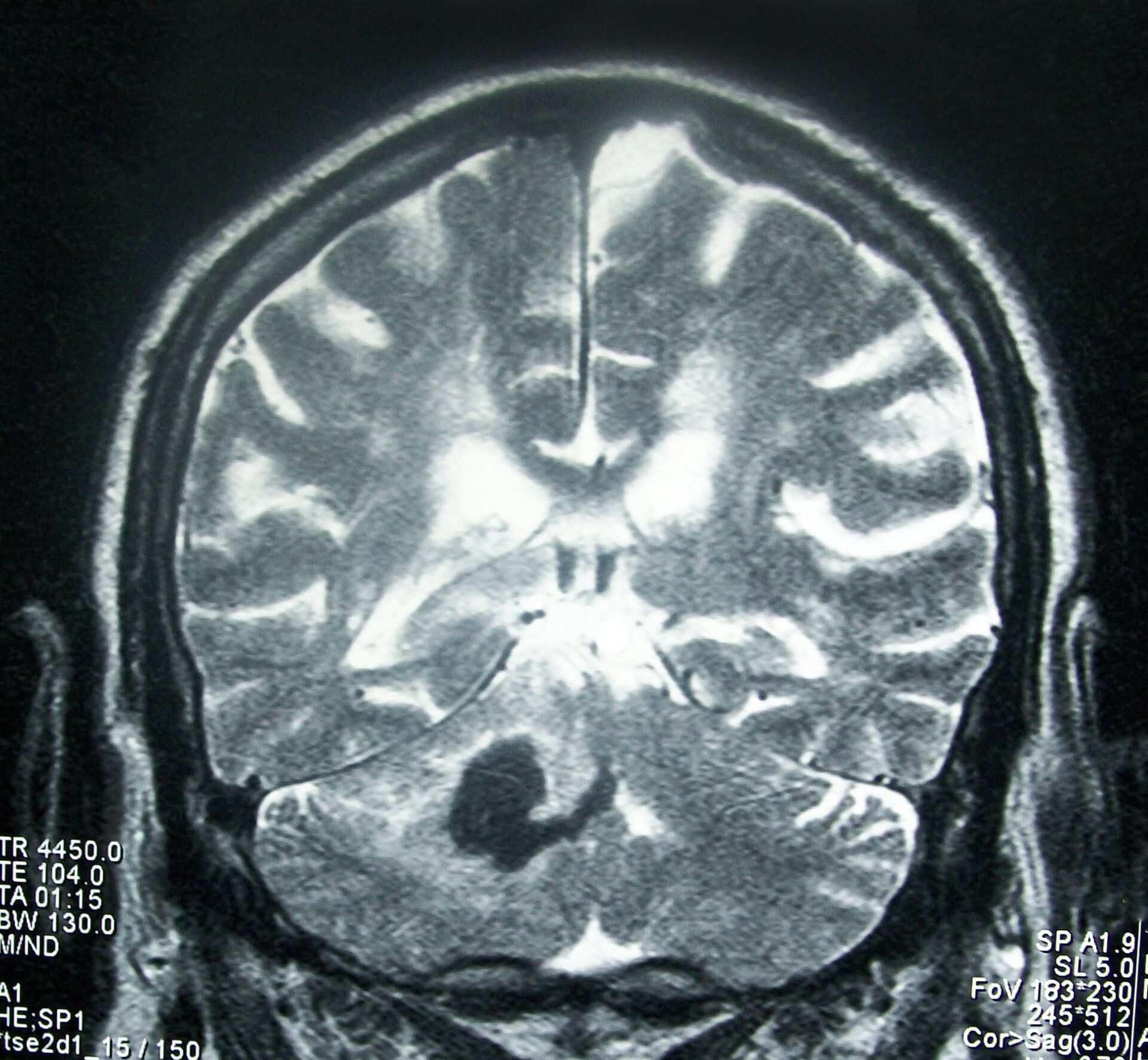
En una entrevista con el medio ruso AiF, la neuróloga
Aminat Dólova, del Centro Nacional del Cerebro y las Neurotecnologías, explicó que muchas personas no prestan la debida atención a la salud cerebral, aunque incluso los microderrames dan lugar a la formación de pequeñas zonas afectadas
en el cerebro que se ven claramente en las imágenes por resonancia magnética.
A pesar de que la mayoría de las personas se recupera de un derrame cerebral rápidamente y sin complicaciones, hasta en un 15% de los casos una apoplejia puede ser seguida por un derrame más grave, advirtió Dólova. Asimismo, contó al medio cuáles son los principales síntomas del llamado derrame cerebral silencioso:
La neuróloga subrayó que las personas que sufren de hipertensión, diabetes y enfermedades cardiovasculares
corren un riesgo mayor de sufrir un derrame cerebral. También deberías tener cuidado si llevas un estilo de vida sedentario y
tienes sobrepeso.
Dólova
afirmó que las medidas de prevención, como el control del ritmo cardíaco, la dieta equilibrada y la actividad física constante ayudan a "reducir hasta el 80%
el riesgo de sufrir accidentes cerebrovasculares".